We provide comprehensive diagnosis, advanced treatment, and long-term care for digestive and liver disorders using modern technology and patient-focused medical expertise.
Digestive complaints such as acidity, gas, bloating, abdominal pain, constipation, diarrhea, and IBS are increasingly common due to unhealthy eating habits, stress, and sedentary lifestyles. While mild symptoms may be occasional, persistent or recurrent digestive problems often indicate underlying gastrointestinal conditions that require specialist care.
At Sapphire Gastroenterology Center, patients receive comprehensive evaluation by an experienced gastroenterologist to identify the exact cause of their symptoms. A detailed medical history, clinical examination, and necessary investigations are used to reach an accurate diagnosis instead of providing only short-term relief.
Personalized treatment plans are designed based on individual needs and may include medications, dietary counseling, lifestyle modification, and long-term follow-up. Early consultation helps prevent complications such as ulcers, chronic inflammation, malabsorption, and long-term digestive disorders. Patients with persistent symptoms, unexplained weight loss, blood in stool, or severe abdominal pain should seek timely medical attention.
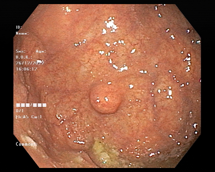
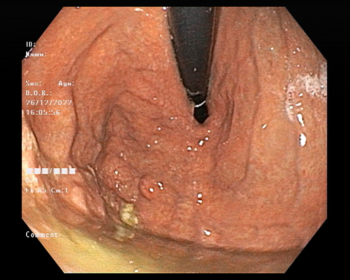
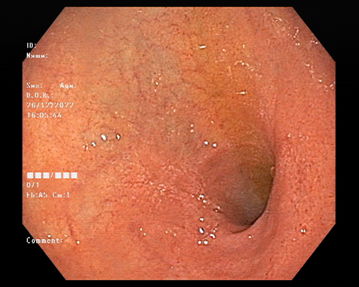
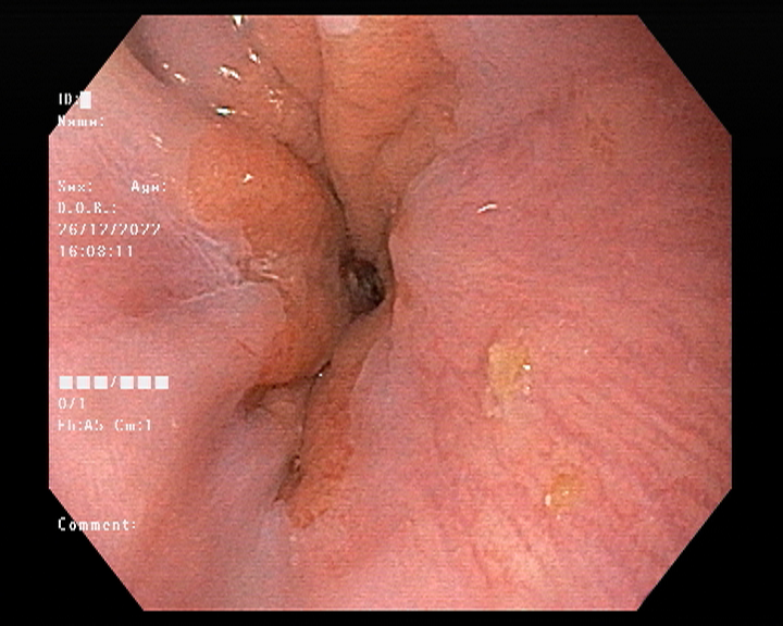
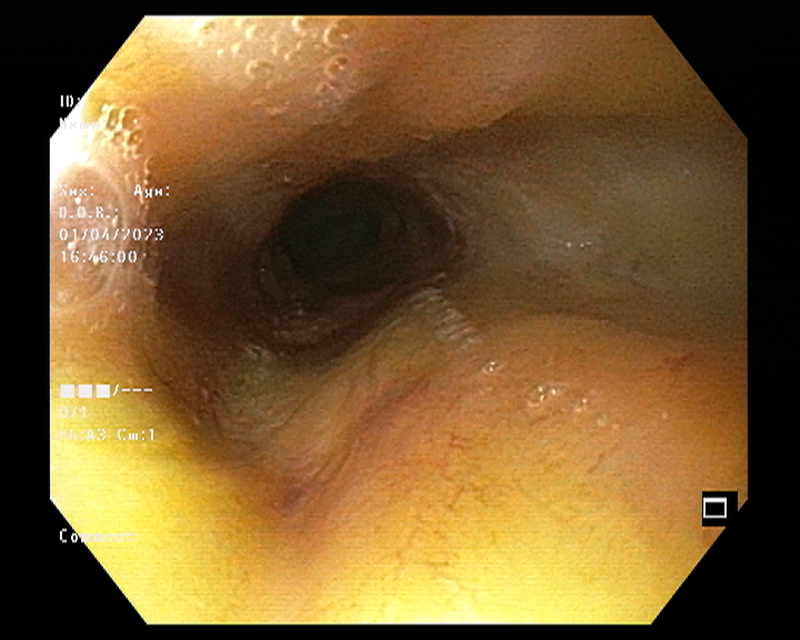
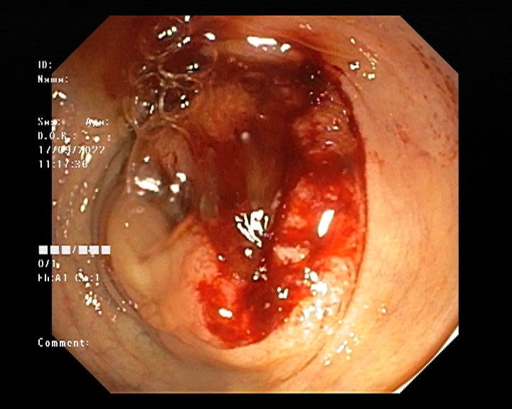
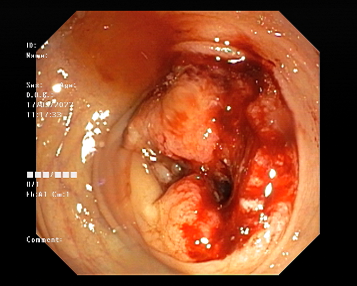
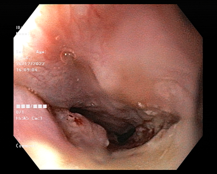
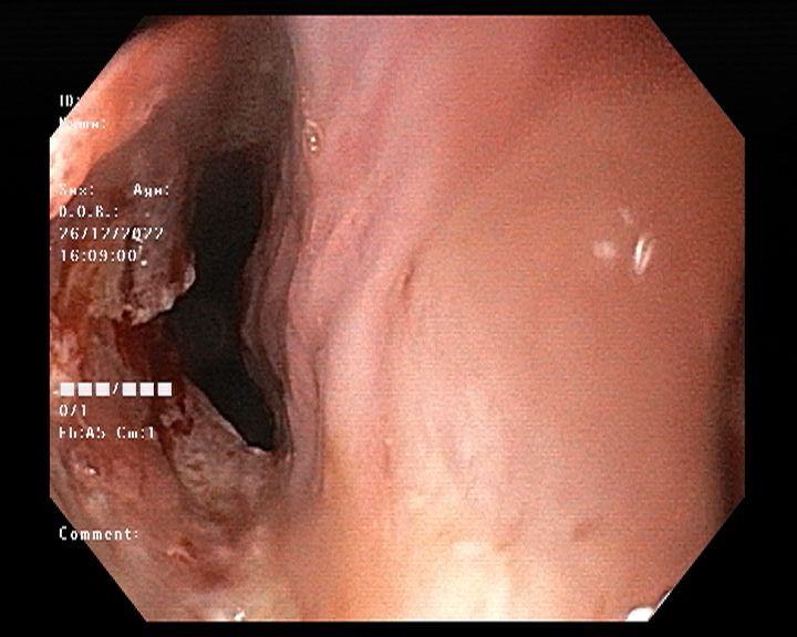
Endoscopy and colonoscopy are safe and accurate procedures used to directly examine the digestive tract and detect the root cause of chronic acidity, GERD, abdominal pain, bleeding, and bowel irregularities. These minimally invasive tests help identify ulcers, inflammation, infections, polyps, strictures, and early cancerous changes.
At Sapphire Gastroenterology Center, modern endoscopic equipment ensures precise diagnosis and, when required, therapeutic intervention during the same procedure. Based on findings, targeted treatment plans are created, including medication, diet guidance, and preventive strategies. Early diagnosis through endoscopy and colonoscopy plays a crucial role in preventing serious complications and improving long-term digestive health.
ERCP (Endoscopic Retrograde Cholangiopancreatography) is a specialized procedure used to diagnose and treat conditions affecting the bile ducts, gallbladder, and pancreas. Problems such as bile duct stones, blockages, strictures, and recurrent jaundice often require ERCP for accurate diagnosis and effective relief.
At Sapphire Gastroenterology Center, ERCP is performed with advanced technology to safely remove stones, relieve obstructions, and place stents when needed. This helps reduce pain, prevent infections, and avoid major surgery in many cases. Early ERCP intervention can prevent serious complications such as cholangitis, pancreatitis, and long-term liver damage.
FibroScan is a painless, non-invasive test used to measure liver stiffness and fat content, helping in early detection of fatty liver disease and liver fibrosis. Many liver conditions progress silently without clear symptoms, making regular assessment important for early diagnosis and prevention of complications.
At Sapphire Gastroenterology Center, FibroScan provides quick and accurate evaluation of liver health without the need for biopsy in most cases. Based on results, personalized management plans including lifestyle changes, diet, and medical treatment are advised to prevent progression to cirrhosis and chronic liver disease.
Fatty liver disease and hepatitis are common liver conditions caused by unhealthy diet, obesity, diabetes, alcohol use, and viral infections. While early stages may show mild or no symptoms, untreated liver disease can progress to fibrosis, cirrhosis, and liver failure.
At Sapphire Gastroenterology Center, patients receive comprehensive care including accurate diagnosis, lifestyle modification plans, dietary guidance, and appropriate medical treatment. Continuous monitoring helps track improvement and prevent complications. Early intervention plays a key role in reversing fatty liver changes and managing hepatitis effectively.
Abdominal ultrasound is a safe and non-invasive imaging test used to assess organs such as the liver, gallbladder, pancreas, spleen, and intestines. It helps detect gallstones, fatty liver, liver enlargement, fluid collection, and other abdominal abnormalities.
At Sapphire Gastroenterology Center, ultrasound imaging supports accurate diagnosis and treatment planning for a wide range of digestive and liver-related conditions. Early detection through ultrasound helps guide further investigations and timely medical management.
Children can suffer from digestive issues such as abdominal pain, vomiting, constipation, diarrhea, food intolerance, and liver disorders. Early evaluation is important to ensure proper growth, nutrition, and long-term health.
At Sapphire Gastroenterology Center, pediatric gastro and liver care focuses on gentle diagnosis, child-friendly evaluation, and age-appropriate treatment plans. Parents are guided with dietary advice and preventive care to ensure healthy digestive development in children.
Many liver diseases progress silently and are detected only at advanced stages. Preventive liver checkups help identify early signs of fatty liver, hepatitis, fibrosis, and metabolic liver disorders.
At Sapphire Gastroenterology Center, comprehensive liver clinic services include screening, FibroScan, blood investigations, imaging, and long-term preventive care plans. Patients receive personalized guidance on diet, lifestyle, and medical management to maintain liver health and prevent future complications.
At Sapphire Gastroenterology Liver & Endoscopy Center, Nanded, we provide advanced diagnostic investigations for accurate evaluation of digestive, liver, pancreatic, and intestinal disorders, including gastrointestinal cancers.
Our services include specialized blood and stool tests such as Liver Function Tests (LFT), pancreatic enzymes, hepatitis markers, metabolic and autoimmune profiles, nutritional panels, Fecal Calprotectin, FOBT, and Celiac Disease Panel for comprehensive assessment.
We also offer tumor markers like CEA, CA 19-9, AFP, and PIVKA-II for early cancer detection. All investigations are reviewed by an experienced gastroenterologist to ensure precise diagnosis and personalized treatment planning.
Choosing the right gastroenterology clinic is crucial for long-term digestive and liver health. At Sapphire Gastroenterology, we focus on trust, technology, and treatment quality.
Experienced Gastroenterologist & Liver Specialist
Advanced Diagnostic Facilities Under One Roof
Patient-Centric & Ethical Treatment
Affordable & Accessible Care








































Sachin GadgeTrustindex verifies that the original source of the review is Google. Highly professional hepatologist in Nanded.. Sayyed MerajTrustindex verifies that the original source of the review is Google. Best gl specialist in nanded for abdominal pain Sidharth KathaleTrustindex verifies that the original source of the review is Google. I was suffering from acidity for months the best doctor I found.. Jyoti LolgeTrustindex verifies that the original source of the review is Google. स्टाफ खूप छान आहे डॉक्टर पण एकदम छांन प्रमाणे समजाऊन सांगतात experience खूप छान होता omprakash badavathTrustindex verifies that the original source of the review is Google. Best liver specialist in nanded my fatty liver improve Yy ZzTrustindex verifies that the original source of the review is Google. Very good digestive health specialist in nanded Manjusha TuptewarTrustindex verifies that the original source of the review is Google. Best gastrointestinal in nanded dr parag deshmukh sir. Babu SableTrustindex verifies that the original source of the review is Google. Trustworthy stomach specialist in nandedVerified by TrustindexTrustindex verified badge is the Universal Symbol of Trust. Only the greatest companies can get the verified badge who has a review score above 4.5, based on customer reviews over the past 12 months. Read more